Conectare
Intru in cont
Am uitat parola
Inregistrare
Home
Companii
Afaceri si Comert
Agricultura
Alimentatie
Auto - Moto
Calculatoare - Internet
Casa si Gradina
Constructii & Antreprenori
Cultura, educatie si invatamant
Diverse
Electronice si electrocasnice
Energie
Financiar - Bancar
Import - Export
Industrie
Mass - Media
Moda, Confectii, Infrumusetare
Paza si protectie
Restaurante, Cazinouri & Cluburi
Sanatate si Asistenta medicala
Sport si Agrement
Telecomunicatii
Transporturi
Turism, Hoteluri, Agentii
Utile
Administratii locale
Adrese Utile
Auto-Moto
Constructii
Cultura & Arta
Divertisment
Financiar - Bancar
Institutii de stat
Invatamant
Lege si justitie
Mass - Media
Sanatate
Telecomunicatii
Transporturi
Turism
Stiri
Actualitate
Economie
Editorial
Interviu
Magazin
Politica
Sport
Tehnologie
Curs Valutar
In tot siteul
Adrese
Companii
Stiri
Home
Companii
Utile
Stiri
Curs Valutar
Conectare
Intru in cont
Am uitat parola
Inregistrare
Home
/
Stiri
/
Actualitate
/
Sanatate
Actualitate
/
Sanatate
O dieta sanatoasa si un intestin sanatos: ce trebuie schimbat
einformatii
Sambata, 8 Martie 2025
2161
Actualitate
/
Sanatate
120
121
122
123
124
125
Femeile care sunt obeze au sanse mai mari de a dezvolta cancer de endometru!
Femeile care sunt obeze au sanse mai mari de a dezvolta cancer de endometru!
estiri.ro
Miercuri, 18 Decembrie 2013
Semnalmentele unui psihopat imatur sentimental
Semnalmentele unui psihopat imatur sentimental
estiri.ro
Miercuri, 18 Decembrie 2013
Magda Marincovici (Jurnalul National) : Energizantele provoaca tahicardie. Examenele imagistice arata ca inima este afectata de bauturile energizate
Magda Marincovici (Jurnalul National) : Energizantele provoaca tahicardie. Examenele imagistice ...
estiri.ro
Miercuri, 18 Decembrie 2013
Profesionisti romi in domeniul medical si terapia antidiscriminare
Profesionisti romi in domeniul medical si terapia antidiscriminare
estiri.ro
Miercuri, 18 Decembrie 2013
Fratele Mariei Carneci a pierdut lupta cu cancerul!
Fratele Mariei Carneci a pierdut lupta cu cancerul!
estiri.ro
Marti, 17 Decembrie 2013
Utilizarea indelungata a Tamoxifenului poate duce la dezvoltarea altor tipuri de tumori
Utilizarea indelungata a Tamoxifenului poate duce la dezvoltarea altor tipuri de tumori
estiri.ro
Marti, 17 Decembrie 2013
Adrian Crainiceanu, apicultor: "Miere de otetar si miere cu propolis, la targul de la Sala Dalles!"
Adrian Crainiceanu, apicultor: "Miere de otetar si miere cu propolis, la targul de la Sala Dalles!"
estiri.ro
Duminica, 15 Decembrie 2013
Studiu : Cascatul are efect benefic, actionand ca un energizant general al organismului
Studiu : Cascatul are efect benefic, actionand ca un energizant general al organismului
estiri.ro
Sambata, 14 Decembrie 2013
Mihai Dragomir, omul care sculpteaza trupuri
Mihai Dragomir, omul care sculpteaza trupuri
estiri.ro
Vineri, 13 Decembrie 2013
MAGDA MARINCOVICI (Jurnalul National): "Cantacuzino" revine in elita producatorilor de vaccinuri
MAGDA MARINCOVICI (Jurnalul National): "Cantacuzino" revine in elita producatorilor de vaccinuri
estiri.ro
Joi, 12 Decembrie 2013
Alina Crainiceanu: "Mierea de rapita este buna pentru pancreas si pentru vasele sanguine!"
Alina Crainiceanu: "Mierea de rapita este buna pentru pancreas si pentru vasele sanguine!"
estiri.ro
Miercuri, 11 Decembrie 2013
O americanca mananca de 12.000 de calorii pe zi
O americanca mananca de 12.000 de calorii pe zi
estiri.ro
Miercuri, 11 Decembrie 2013
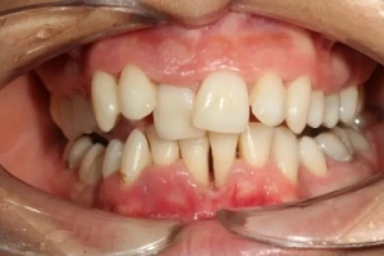
Malocluzia, o deviatie de la ocluzia normala a dintilor
Malocluzia, o deviatie de la ocluzia normala a dintilor
estiri.ro
Marti, 10 Decembrie 2013
Sfaturi dupa o masa copioasa de Craciun sau de Revelion
Sfaturi dupa o masa copioasa de Craciun sau de Revelion
estiri.ro
Luni, 9 Decembrie 2013
Fitoterapeutul Marius Tirban Gheorghe: "La standul meu de la Universitate, cele mai cautate sunt untul pamantului, ceaiul pentru diabet si ceaiul renal!"
Fitoterapeutul Marius Tirban Gheorghe: "La standul meu de la Universitate, cele mai cautate sunt ...
estiri.ro
Duminica, 8 Decembrie 2013
Ceaiuri, tincturi, siropuri si alifii, la standul fitoterapeutului Tirban Marius Gheorghe
Ceaiuri, tincturi, siropuri si alifii, la standul fitoterapeutului Tirban Marius Gheorghe
estiri.ro
Sambata, 7 Decembrie 2013
Magda Marincovici (Jurnalul National): Transplantul de organe, in 2014
Magda Marincovici (Jurnalul National): Transplantul de organe, in 2014
estiri.ro
Vineri, 6 Decembrie 2013
Dementele senile debuteaza intre 65 si 70 de ani
Dementele senile debuteaza intre 65 si 70 de ani
estiri.ro
Marti, 3 Decembrie 2013
Semne care ne avertizeaza ca batranii nu se mai pot ingriji singuri
Semne care ne avertizeaza ca batranii nu se mai pot ingriji singuri
estiri.ro
Marti, 3 Decembrie 2013
Usturoiul, o planta inzestrata cu puteri miraculoase
Usturoiul, o planta inzestrata cu puteri miraculoase
estiri.ro
Marti, 3 Decembrie 2013
120
121
122
123
124
125
Cauta
STIRI ULTIMA ORA
Modul Turbo vs. Auto Play la jocurile de pacanele: care te ajuta sa joci mai rapid?
einformatii
Vineri, 26 Septembrie 2025
2745
Rolul tehnologiei corecte si transparente in jocurile de noroc bazate pe blockchain
Miercuri, 17 Septembrie 2025
Modelele de succes ale economiei circulare in Romania
Miercuri, 30 Aprilie 2025
George Simion, absent si la a doua dezbatere electorala
Miercuri, 30 Aprilie 2025
Prezidentiale 2025. Ponta: Trebuie sa interzicem importul de produse agroalimentare din Ucraina
Miercuri, 30 Aprilie 2025
Sprijin pentru Moldova impotriva Rusiei? Ce ar face Crin Antonescu daca ar fi presedintele Romaniei
Miercuri, 30 Aprilie 2025
Arsenal - PSG 0-1. Parizienii sunt cu un picior in finala Champions League, dupa un joc superb
Miercuri, 30 Aprilie 2025
Care este motivul real al scandalului dintre Alex Bodi si Nuredin Belnur
Miercuri, 30 Aprilie 2025
Baciu: "Daca trebuie sa culci copiii, le poti pune acest meci"
Sambata, 8 Martie 2025
Jocurile cu dealer live: Ce trebuie sa stii despre aceasta experienta online
Luni, 3 Martie 2025
Sumudica, desfiintat de Meme: "Ca antrenor e nul. Se imbraca in saltea pneumatica, crede ca e geaca"
Luni, 3 Martie 2025
CAUTARI RECENTE
uivar si steluta
lista cu membrii sectii de votare marghita
stirile tv neptun constanta 03 05 2022
1 or 3 2 0 5 456 456
madalina malone
accident 21 11 2010
tuica afumata
rezultate olimpiada mate buzau 12 02 2011
zboruri de pe kogalniceanu spre madrid
virgil stoian
CAUTARI POPULARE
politia
liceul
stirile
ci e este pri ar brad
calarasi
biroul
stiri
primaria municipiu brad judet hunedoara romania rca lilia a aria a
arad
primaria municipiu brad judet hunedoara romania primar jurca liliana mariana cod 335200